小児歯科
お子様のムシ歯の進行は驚くほど早いものです。ムシ歯が1本できると、ムシ歯が次々と連鎖的に発生する場合もあります。当院では、『ムシ歯にならないためのお口の環境づくり』が大切だと考え、正しい歯磨きの学習と定期的なメンテナンスをオススメしております。また、お子様方にワクワク楽しみながら虫歯予防をしてもらえるように、『また行きたい』と言ってもらえる歯科医院になれるように、当院ではさまざまな取り組みを行っております。大切なお子様の未来のために、今できることを始めませんか?
保護者の方へ
子どもたちにとって、歯医者さんは恐怖の時間です。
無理やり口を開けられて、押さえつけられて、痛い事や怖い事をされる・・・ 「今やらないと、もっと痛くなるよ!!」 必死に頑張って治療したはずなのに、またすぐ痛くなって・・・ こんな事を繰り返せば、大人だって歯医者さんは嫌いになると思います。 歯医者さんで怖い思いをすればするほど、子供たちは歯医者さんに行くのを嫌がります。
子供と歯医者の関係は最初のイメージが 肝心なのです。いかに子供たちにとって、歯医者さんは嫌なところではなく、 楽しくて来たくなる所だとイメージを持ってもらえるかが大事なのです。実際に定期的に歯医者さんに通い定期検診や予防処置を受けている子供は、 大幅に虫歯が少なく、医療費がかからないというデータがあります。
歯医者さんを好きになってもらいたい、 そして健康な歯を守ってもらいたいと考えています。 このため、歯医者さんが初めてのお子さんや、歯医者嫌いのお子さんの受診の場合、 少し他の歯医者さんとは違う、変わったことをいたします。
・本人がお口を開けてくれるまで、無理にお口の中を見ない。
・治療させてくれるまで、無理に治療しない
・本人のペースでなれてもらいたい
これがモットーです。
具体的には、最初の数回は、お子さんの受容度(歯医者さんをどこまで受け入れてくれるか)に合わせてやっていきます。
イスにお母さんと座れたらOKの子もいれば、診療室に入れたらOKの子、最初からお口の中を見せてくれる子まで色々です。
年齢や性別、性格や兄弟姉妹の有無など、様々な環境があるので、達成度や受容度、慣れるスピードに差があるのは当たり前です。
ですから保護者の皆さん、来院するお手数がかかりますが、お子さんのペースに合わせてあげてください。 中には治療に入れるまで、10回近くかかる子もいます。 ですが、みんな最後にはきちんと一人でイスに座り、お口を開けて治療させてくれるようになります。
自分の中で、歯医者さんを納得して受け入れてくれたお子さんは、定期的に楽しんで来院してくれるので、非常に虫歯になりにくくなります。
当医院が考えるゴールは、『永久歯が生えそろう前に、いかに虫歯になりにくいお口の環境を作ってあげられるか』なのです。
長い目で見てあげて、お子さんにとって一番になることを、一緒に頑張っていきましょう!

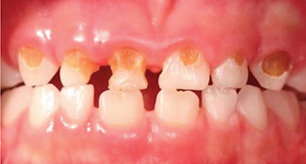
虫歯の要因
虫歯は五つの要因から成り立っています。
・歯磨き習慣
・唾液の量や歯の強さ
・食生活
・食事やおやつの回数、時間
・虫歯菌の種類や量

フッ素によるムシ歯予防
なぜフッ素は歯にいいのか?
3つの働きで、むし歯の発生と進行を防ぎます。●酸により歯から溶け出したカルシウムやリンを補うことで、エナメル質の修復(再石灰化)を促進します。●歯の表面を覆うエナメル質を溶けにくくし、歯の質を強化します。●むし歯を引き起こす細菌の働きを弱め、酸がつくられるのを抑えます。

フッ素を使った取り組み
・フッ素塗布
塗布の必要な回数はお口の状態によって異なりますが、1年に2〜4回の塗布を継続することで20〜40%程度の虫歯の予防効果があるとされています。乳歯が萌え始める1歳くらいから開始すると有効です。当院では、無料で行っております。

・フッ化物によるうがい
ムシ歯予防を目的に、一定の濃度のフッ化ナトリウムを含む溶液で1分間ほどぶくぶくうがいをする方法です。定期的なフッ素塗布に加え、ご家庭でフッ化物によるうがいをして頂くと、より効果的やなムシ歯予防ができます。院内でも、うがい液を販売しております。

・初期う蝕の予防処置
フッ素を塗布することにより、歯の再石灰化を促進して初期虫歯の進行を予防します。

・患者様にわかりやすく説明するために、小型口腔内カメラを使用しています。

(※)フッ素によるムシ歯予防をしているからといって、絶対にムシ歯にならないという事ではありません。『フッ素を使っているから大丈夫』という安心感から毎日の歯磨きを怠ってしまうと、逆にムシ歯をたくさん作ってしまうという可能もあります。ムシ歯にならないためには、正しい歯磨きと定期的な検診が大切です。
リカルデントによるムシ歯予防
リカルデント(CPP-ACP)とは?
リカルデントはメルボルン大学で開発されました。 この商品名のガムが市販されているので、聞いたことがある方もいらっしゃるかもしれません。これは、牛乳から作られた『カゼインホスホペプチド(CPP)と非結晶性リン酸カルシウムの複合体』です。
リカルデントでは虫歯菌により、歯から溶け出したミネラル(カルシウムやリン)を元に戻し、歯を元の状態に近づけるミネラルパック効果により歯を補強します。そして虫歯菌により、酸性に(歯が溶けやすく)なったお口を中性にもどしてくれる緩衝材の役目をしています。 当院ではこのリカルデントをたっぷり含んだMIペーストで歯を磨いてからフッ素を塗って歯を強くしています


シーラントによるムシ歯予防
奥歯の溝は複雑な形をしているので、とてもムシ歯になりやすい箇所です。奥歯の溝をムシ歯に予防効果のある薬で塞ぎ、ムシ歯になりにくくする予防法がシーラントです。永久歯が萌出してきたら、この方法をお勧めしております。保険も適用可能ですので、ぜひご利用ください。

当院の小児メンテナンスの流れ
①検査

当院ではお子様の状態、年齢に合わせて検査を実施し、歯ぐきの様子や虫歯の有無、 歯並びなど詳細なお口の中の状態を確認します。 歯列不正のお子様は清掃不良となりやすく虫歯の原因になります。 虫歯を防ぎ、ブラッシングをしやすくするためには歯並びの改善が必要です。 矯正治療が必要なお子様には無料相談をご案内しています。

②ブラッシング指導

検査データに基づき、お子様のお口の状態に合わせたブラッシング方法を指導いたします。 まだ自分でブラッシング困難なお子様やブラッシング不足の患者様には、歯科衛生士が術者磨きを行い、お口の中が清潔に保てるよう管理しております。 また、小児歯科の目的として乳歯の健康を守り、永久歯の健全な生え変わりを支えていくことです。 そのためには、食習慣などもアドバイスさせていただき、保護者の方と一緒にお子様のお口の中の管理を進めていきます。
③スケーリング

お口の中には、機械でしか除去できないバイオフィルム、細菌の住みかとなる歯石を超音波スケーラーによる除去を行い、お口の中を清潔に保ちます。
撮影したレントゲンを確認しながら、丁寧にバイオフィルムや歯石を除去します。
④着色除去

使用できるお子様には、専用の歯面清掃機器、プロフィーメイトと炭酸カリウムベースのナトリウムフリーの粉末を使用し通常の歯磨きでは除去できない、着色や歯の表面の汚れ、歯と歯の間など普段の歯磨きではよく磨けない部分をクリーニングしていきます。
⑤歯面清掃

流水下で水流と振動の音波効果 (サブソニック振動)によりバイオフィルムの破壊、洗い流し効果を生かしたプラーク除去を行い、歯面をやさしくツルツルに仕上げます。
⑥歯面研磨

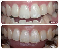
着色除去後、MIペーストを使用し、歯面の仕上げ磨きを行います。 MIペーストは歯にカルシウムの成分を戻りやすくしてくれます。 「再石灰化」を促してくれます。さらに、牛乳由来の成分から抽出した 「リカルデント」が入っており、虫歯に対して高い予防効果が期待できます。
⑦ フッ素塗布・エナメル質初期う蝕の管理

歯の表面は、エナメル質という硬い組織で覆われていますが、意外とデリケートな組織でもあり、強く歯磨きしたり、乱れた食生活などで、目には見えないミクロの組織が傷ついてしまいます。 また、フッ素コーティングすることにより虫歯予防も期待できます。
小児歯科のQ&A
-
何歳から診察してもらえますか?
-
歯科治療は、3歳前後が適しているといえます。 お子さんによっては、一人で診察台に座れて、上手にお口があけれれば、何歳からでも治療は可能です。 不安な時は、ご家族の方と一緒に診察台に座っていただくことも可能です。
-
乳歯はむし歯になりやすいですか?
-
乳歯は、永久歯に比べると、歯質が弱く、エナメル質や象牙質までの厚さも薄い、溝が細かいため、むし歯になりやすく、進行速度も速いです。 また、自分一人で、十分な清掃効果がえられないため、むし歯になりやすい原因とも考えられます。
-
歯みがきを上手にするコツはありますか?
-
お口の中が見やすく、安全で歯みがきしやすい姿勢が望ましいため、ひざの上か、お子さんの後ろに回り頭をお腹や脇で固定して歯みがきしてあげるのがいいでしょう。 歯みがき剤を使い始めたら、唾液や歯みがき剤を飲み込みにくくするために、お子さんを立たせて歯みがきしましょう。 歯みがきする時は、上唇小帯といわれる上唇を引き上げたときに唇の裏側と前歯の歯肉の間についている粘膜のひだのような部分を指でおさえて歯みがきするといいかもしれません。
-
歯みがきは、一日何回必要ですか?
-
乳歯は、むし歯になりやすいため、1日3回食後の歯みがきをおすすめします。 特に夜はお口の中の細菌が繁殖しやすいため、念入りな歯みがきが大切です。 また、正しいみがき方で歯みがきすることが必要になりますので、仕上げみがきが重要といえるでしょう。
-
歯の白い部分は何ですか?
-
遺伝、歯の形成時期の栄養不足、外傷、フッ素濃度の高い飲食物の過剰摂取、先行乳歯のむし歯などが原因で、エナメル質の構造が一部きちんとできずに、光の透過変化により白く見えます。 程度によって茶色くなったり、エナメル質が一部欠損することもあります。 エナメル質の石灰化不全といわれています。
-
おすすめの歯ブラシはありますか?
-
安全性、・グリップの握りやすさ・ヘッドの大きさ・毛の硬さなど、様々ありますが、最も重視すべきは、年齢で使い分けることです。 歯が生え始めてから2歳位までは、毛先が平坦で山桐ではなく、硬さは普通が好ましく小さいヘッドのものを選びましょう。 食事の後や寝る前に歯磨きをすることに慣れてくる時期、行動も活発になるので、歯ブラシを持ったまま走り回ったりすることもあって、とても危険です。 こまめな声掛けをすると同時に、安全面も考慮した歯ブラシを選ぶことが大切です。 3歳から5歳位までは、のど突き防止や角度突きハンドルで、前歯に当たらないものなどがオススメです。 また、まだ親子みがきの時期ですが、子供みがき率を増やしていかなければいけないので、歯みがき嫌いにならないように持ちやすいものを選びましょう。 表、裏のグリップが持ちやすいものがよく、乳歯は歯が大きく丈は短いため、幅は3列位の毛束幅で縦の、長さは短めがオススメです。 6歳から12歳位は、お子さん自身が好きなものを選ぶことで、みがくことが楽しくなるため、好きなキャラクターや色などでも選ぶこともおすすめです 。 6歳で第一大臼歯、12歳で第二大臼歯が生えてきて、徐々にすべてが永久歯になる時期なので、歯ブラシも少し大きなものに変えることをオススメします。
-
嫌がる子供を連れて行ってもいいですか?
-
歯科医院に、来院される前に事前に怖くないということをご家庭で、お話ししていただくことをオススメします、ご家族の方に怖いイメージがあれば、お子さんもそのように受け取ってしまいますので、一度お話しいただけると幸いです。 来院された場合は、いきなり治療は、お子さんも驚かれてしまうので、まずは、診察室に入ることから始め、お話ししたり、歯みがきしたり、歯科器具を見たり、触ったりして徐々に慣れるように取り組んでいます。 嫌がるお子さんを連れてきていただいても構いませんが、暴れたりする場合は、使用器具によって危険な場合もあり、治療できない場合もございます。
-
歯みがき粉は何歳から使えますか?
-
上手にぶくぶくうがいができるようになってからがいいといえます。 目安は3歳前後で、うがいができないお子さんには、ジェルタイプのものをオススメしています。


