くつい歯科クリニックのこだわりのメンテナンス
当院では、メンテナンスプログラムの中に、SPT(サポーティブ ペリオドンタル セラピー)をとり入れています。SPTとはSupportive Periodontal Therapy(歯周病安定期治療)のことで、病状が安定している歯周組織を維持するために行う定期的な治療です。健康管理ではなく、治療であるため、患者様の歯周組織の状態をみながら、歯科医師による咬合調整、歯科衛生士による口腔衛生指導、スケーリング、PMTC(歯面研磨)を行います。当院は、厚生労働省の認可を受けた「かかりつけ歯科強化型診療所」ですので、予防歯科診療のSPT(歯周病安定期治療)が保険適用で受診できます。
予防歯科とは
治療が必要になってから治すのではなく、治療が必要にならないよう予防していくのが予防歯科です。 歯とお口の健康を積極的に守るため、歯科医院での「プロケア(プロフェッショナルケア)」と、歯科医や歯科衛生士の指導に基づいた毎日の「セルフケア」の両方で、「予防歯科」を実践しましょう。

なぜ予防歯科をお勧めするのか
日本ではまだ、歯についての十分な指導が進んでおらず、『このまま健康な歯が少なくなっていっても、なんとなく大丈夫なのではないか・・』という根拠の無い安心感を持っている人が多いように感じます。また一方では、『年をとれば歯を失うのは仕方がない』と考える人もいらっしゃるのではないでしょうか。
実際、日本では高齢者の2人に1人が入れ歯を使っており、これまで通りの日本的な予防法や治療を続けていると、将来的にあなた自身も入れ歯になってしまう可能性が非常に高くなります。そして、入れ歯というものを使ってみると分かりますが、本物の歯とは違って大変不便な物です。思いきり噛むことも難しくなりますし、予想以上にきちんとしたメンテナンスも必要です。ただ、『歯についてよく知らなかった』という理由だけで、あなたの将来の食べる喜びを奪ってしまわないためにも、このような歯科知識の周知が、これからの歯科医院の課題であると考えています。

まずは定期的な歯科健診を
くつい歯科クリニックでは、これから先のスタンダードな歯科医療として、これまでの日本的な予防法から一歩進んだ、『虫歯や歯周病の予防』に力を入れたプログラムを実施しております。3ヶ月に一度程度の定期健診を行っていて、定期健診では、患者様一人ひとりにあった予防プログラムの提案や歯磨きの指導などを行っております。定期的な歯科健診で、虫歯や歯周病から、あなたの大切な歯を守りましょう。
予防には患者様のご協力が不可欠です
予防歯科には患者様のご協力が不可欠です。私たち歯科医師がどれだけ努力をしても、患者様ご自身に予防するという気持ちが無ければ予防歯科は成り立ちません。将来入れ歯にならないために、健康な歯でおいしい食事を楽しむために、普段からご自分の歯に関心を持つということが何より大切です。
口臭対策にも効果を発揮
舌にも細菌が生息しているのをご存知でしょうか?舌の表面には、細かい突起がたくさんあります。この中に口の中で剥がれた粘膜や食べかすがたまり、細菌のすみかになっています。これは、舌苔と呼ばれ、口臭の原因にもなります。また舌の表面に舌苔がたまると、味蕾という舌の組織を覆ってしまうため、食べものの味を感じにくくなり、食事が美味しく感じられなくなることもあります。普段の歯みがきに舌クリーニングも習慣にするといいのですが、強い力でみがくと逆に舌の表面の組織を傷つける可能性もあります。適切な舌クリーニングを実施することで口臭予防に効果を発揮します。
メンテナンス診療について
メンテナンスの間隔
当院では、患者様ごとに、お口の状態に合わせて、1〜3ヶ月でのお口のメンテナンスをオススメしております。歯周病が進行して歯ぐきの状態が悪い方、歯石が溜まりやすい方、むし歯になりやすい方などは、1ヶ月間隔でのメンテナンス、歯ぐきの状態が安定している方は3ヶ月というように、患者様ごとにお口の状態に合わせたメンテナンスプログラムをご提案させていただいております。もちろん、お仕事の都合などで、定期的なご来院が難しい場合もありますので、そのような場合でも、患者様の来院可能な間隔で、お口の状態が悪化しないようにメンテナンスプログラムを組ましていただいております。治療終了後のカウンセリング時に、歯科医師、歯科衛生士までお気軽にお申し付けくださいませ。

メンテナンスの所要時間
メンテナンスのお口の状態にもよりますが、おおよそ30分〜45分程度になります。当院のメンテナンスは、完全予約制となっております。3ヶ月先まで、ご予約を承っておりますので、会計時に、次回のメンテナンスのご予約をしていただくことも可能です。また、メンテンスの時期が近づいてきますと、案内のお葉書が届きますので、お口の調子が良いから忘れてしまう心配もありません。

費用 -SPT(歯周病安定期治療)は保険適応-
| 1割負担の方 | 1,000円程度 |
| 2割負担の方 | 2,000円程度 |
| 3割負担の方 | 3,000円程度 |

メンテナンスの流れ


1.検査
当院では患者様の状態に合わせて「歯周精密検査」、「レントゲン検査」、「細菌検査」を実施し、歯ぐきの状態や虫歯の有無など詳細なお口の中の状態を確認します。
2.ブラッシング指導
検査データに基づき、患者様のお口の状態に合わせたブラッシング方法を指導いたします。ブラッシング困難な患者様やブラッシング不足の患者様には、歯科衛生士が術者磨きを行い、お口の中が清潔に保てるよう管理しております。


3.スケーリング
お口の中には、機械でしか除去できないバイオフィルム、細菌の住みかとなる歯石など、歯周病を進行させる要因が多数存在しております。そこで、超音波スケーラーによるバイオフィルム、歯石の除去を行い、お口の中を清潔に保ちます。撮影したレントゲンを確認しながら、歯の表面だけでなく、歯の根面に付着した歯石も除去します。

1.検査
当院では患者様の状態に合わせて「歯周精密検査」、「レントゲン検査」、「細菌検査」を実施し、歯ぐきの状態や虫歯の有無など詳細なお口の中の状態を確認します。
2.ブラッシング指導
検査データに基づき、患者様のお口の状態に合わせたブラッシング方法を指導いたします。ブラッシング困難な患者様やブラッシング不足の患者様には、歯科衛生士が術者磨きを行い、お口の中が清潔に保てるよう管理しております。


3.スケーリング
お口の中には、機械でしか除去できないバイオフィルム、細菌の住みかとなる歯石など、歯周病を進行させる要因が多数存在しております。そこで、超音波スケーラーによるバイオフィルム、歯石の除去を行い、お口の中を清潔に保ちます。撮影したレントゲンを確認しながら、歯の表面だけでなく、歯の根面に付着した歯石も除去します。
4.バイオフィルム除去
歯周ポケット内の縁下バイオフィルムを除去でき、届きにくいところまで効果的にメンテナンスが可能です。広範囲のパウダー噴射で、時間も短縮され、長い時間お口を大きく開けるのが苦手な患者様にも最適です。


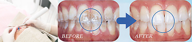
5.着色除去
専用の歯面清掃機器、プロフィーメイトと炭酸カリウムベースのナトリウムフリーの粉末を使用し、通常の歯磨きでは除去できない、タバコのヤニや茶渋などの着色や歯の表面の汚れ、歯と歯の間など普段の歯磨きではよく磨けない部分を徹底的にクリーニングしていきます。気になる着色は徹底的に落としますのでお気軽にお申し付けください。
6.歯面清掃
流水下で水流と振動の音波効果(サブソニック振動)によって起きる泡によりバイオフィルムの破壊、洗い流し効果作用を生かしたプラーク除去を行い、歯面を優しくツルツルに仕上げます。


7.歯面研磨
着色除去後、ペーストを使用し、シャンプーの後トリートメントするように歯面の仕上げ磨きを行います。毎日のブラッシングや食事によって傷ついた歯をツヤツヤでツルツルにし、歯面を美しくなめらかに仕上げます。研磨目的成分無配合で敏感なお口の中にも安心です。
8.舌クリーニング
舌の表面の細かい突起に剥がれた粘膜や食べかすがたまり、細菌のすみかとなっています。舌クリーニング専用のアロマジェルで、舌をやさしくクリーニングすることで、口臭予防にも効果を発揮します。


9.エナメルケア、フッ素コーティング
歯の表面は、エナメル質という硬い組織で覆われていますが、意外とデリケートな組織でもあり、強く歯みがきしたり、乱れた食生活などで、目には見えないミクロの組織が傷ついてしまいます。エナメルケアでは、ミクロの傷を修復し、歯垢を付きにくく、歯の黄ばみを除去していきます。またフッ素コーティングすることにより、虫歯予防や知覚過敏の予防も期待できます。
10.レーザー治療、抗生物質の注入、咬合調整・舌圧検査
必要な患者様には、炭酸ガスレーザーによる治療を無料で行っております。レーザーには、殺菌したり、痛みを和らげたり、免疫機能を高める効果があります。歯周病の進行が認められる場合は、症状を緩和させるため、レーザー治療をオススメしております。


11.仕上がり確認
必要な患者様には、炭酸ガスレーザーによる治療を無料で行っております。レーザーには、殺菌したり、痛みを和らげたり、免疫機能を高める効果があります。歯周病の進行が認められる場合は、症状を緩和させるため、レーザー治療をオススメしております。
検査内容

当院では初診時からの検査データをコンピューターにて管理しており、歯茎の状態の変化や比較を容易に行なえます。年に1回を目安にレントゲン検査を行い、受診時の歯ぐきの状態を詳しく説明しますので歯周病の進行状況や虫歯の有無も確認していただけます。また、ご希望に応じて、お口の中の細菌の検査も行なっておりますので、より詳しくご自身のお口の中の状態を把握していただけます。検査データに基づき、お口の中がどの程度汚れているか、どの箇所のブラッシングが苦手なのかを分析します。

ブラッシング指導
歯とお口の健康を守るための毎日のセルフケアについて指導させていただきます。患者様のお口の中の状態に合わせたブラッシングや、ブラッシング困難な患者様へは電動歯ブラシ、デンタルフロス、歯間ブラシ、舌ブラシをご提案させていただきます。入れ歯の方へは超音波洗浄などのメンテナンスの仕方をお伝えしておりますので、気になることは気軽にお申し付けくださいませ。

歯面研磨
通常の歯磨きでは除去することができない、バイオフィルムを除去します。専用の機械を使ってタバコのヤニや茶渋などの歯の表面の汚れ着色を取り除き、歯と歯の間など自分では磨きにくいとこりゃ歯磨き癖でよく磨けていないところを中心にクリーニングします。患者様のお口の状態に合わせて専用のチップを使い分け、回転数を調整していくことで歯に負担をかけない治療を行います。

安心・安全な予防歯科
徹底した衛生管理
使用するケア用品は、衛生面を考慮し、常に新しい歯ブラシなどを提供しております。また、スケーリングで使用するスケーラーのチップは患者様毎に交換しておりますのでご安心ください。当院の衛生管理については衛生管理のこだわりを御覧ください。

歯に優しい歯面研磨
専用の器具を使用し、正確かつスピーディーに歯面研磨を行います。優れた操作性により、回転数を調節できる為、歯に負担をかけません。

